Apparecchio invisibile a Roma

Allineare i denti in modo discreto, efficace e personalizzato è oggi possibile per adulti e ragazzi

Trattamento estetico, trasparente e confortevole
Mascherine rimovibili, personalizzate e su misura
Senza fili né attacchi visibili
Adatto anche agli adulti con vita professionale attiva
Prenota una visita

Cos’è l’ortodonzia invisibile e come funziona

L’ortodonzia invisibile rappresenta l’evoluzione moderna dell’apparecchio dentale. Si basa sull’utilizzo di allineatori trasparenti (noti anche come mascherine invisibili), realizzati su misura, che spostano i denti gradualmente fino a ottenere l’allineamento desiderato.

È la soluzione ideale per chi vuole migliorare il proprio sorriso senza alterare l’estetica del viso e senza ricorrere a brackets metallici o fili visibili.
A Roma, presso il Centro Odontoiatrico Prati, offriamo diverse opzioni di apparecchi invisibili, adatti sia a casi semplici che complessi.

Il trattamento parte sempre da una scansione digitale 3D, che consente di simulare il risultato finale ancora prima di iniziare.

Quando scegliere l’apparecchio trasparente

Se cerchi una soluzione estetica, comoda e discreta per riallineare i denti senza interferire con il lavoro o la vita sociale.

Come funziona l’ortodonzia invisibile

Dopo una visita specialistica, si crea una serie di mascherine su misura. Ogni aligner viene indossato 22 ore al giorno e sostituito ogni 2-3 settimane.

Chiamaci subito

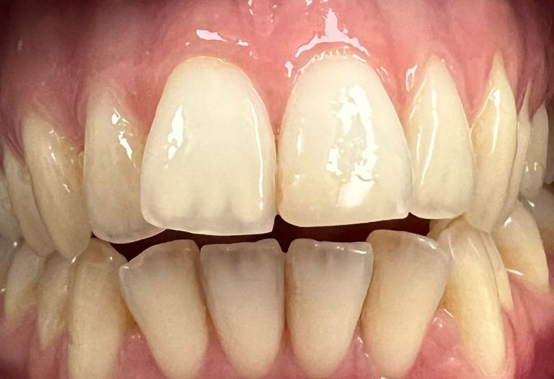
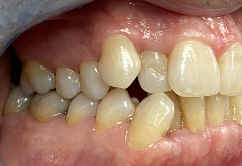
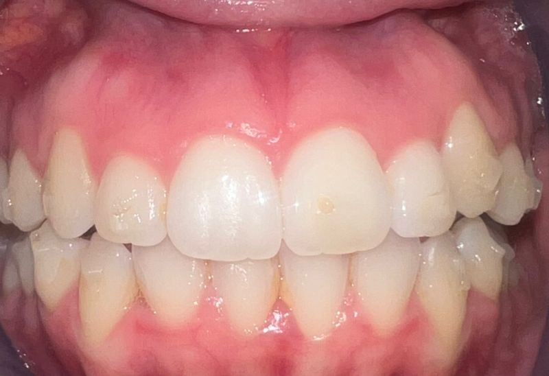
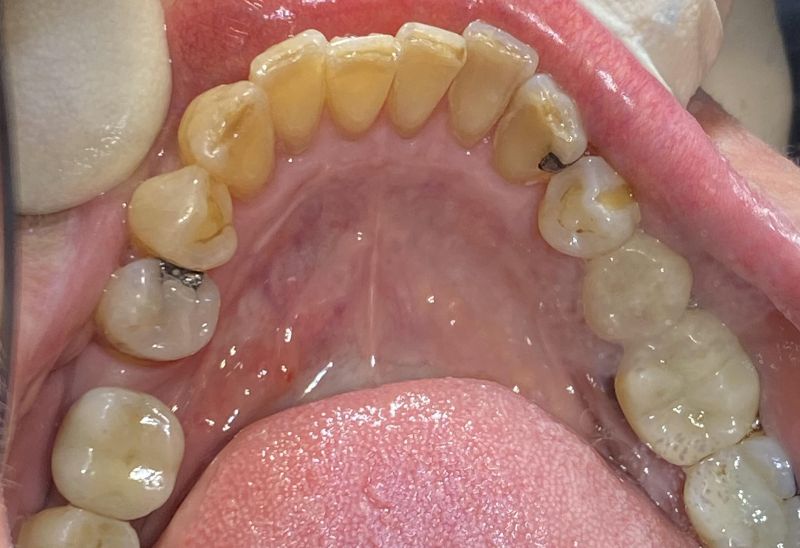
Prima e dopo l'apparecchio invisibile

In questa sezione mostreremo risultati reali ottenuti con l’ortodonzia invisibile a Roma. I cambiamenti riguardano non solo i denti, ma anche l’armonia del viso, la postura orale e l’autostima.

 

Ortodonzia Invisibile

Domande frequenti sull’ortodonzia invisibile

Adulti, adolescenti e ragazzi con dentatura permanente. È indicato per affollamenti, denti storti, diastemi e morso inverso. Solo un’analisi specialistica può stabilire l’idoneità.

Invisalign è il brand più noto e tecnologicamente avanzato, ma esistono anche alternative valide come Nuvola, Dr. Smile o Impress. Differiscono per materiali, progettazione e livello di personalizzazione.

È molto più confortevole dell’apparecchio fisso. Può provocare una leggera pressione iniziale, segno che i denti si stanno muovendo, ma senza dolore vero e proprio.

Per garantire l’efficacia del trattamento, va portato almeno 20-22 ore al giorno, rimuovendolo solo per mangiare e lavarsi i denti.